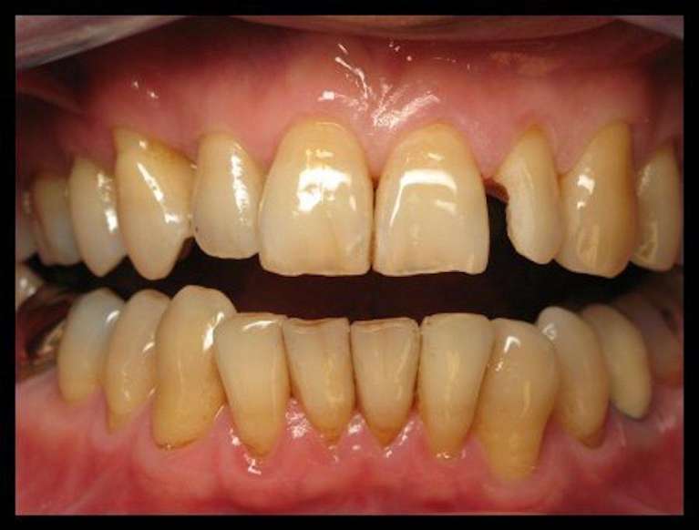
Composite Bonding
Your smile is one of the first things people notice, and at Advanced Dentistry Northwest, we believe everyone deserves to feel confident when they share it with the world. If you have chipped, discolored, or uneven teeth, composite bonding offers a quick and highly effective way to enhance your smile's appearance without extensive dental work. This versatile treatment can fix a range of minor imperfections and give you the polished, radiant smile you've always wanted.

Our highly skilled Bellevue dentist, Dr. Chen, is dedicated to providing personalized, high-quality care. If you're considering composite dental bonding in Bellevue, WA, rest assured you're in expert hands!
What Is Composite Bonding?
Composite bonding enhances the appearance of your teeth by using a tooth-colored resin. The process is quick, painless, and typically requires just one visit. It’s a minimally invasive solution for many common dental concerns, including:
- Repairing chips or cracks
- Closing small gaps between teeth
- Reshaping uneven teeth
- Improving discoloration that doesn’t respond to whitening
- Protecting exposed roots from gum recession
Composite bonding is an effective way to achieve a more confident smile with minimal effort and no lengthy recovery time.
Why Composite Bonding Is Your Smile Solution
Composite bonding offers many benefits for anyone seeking to enhance the appearance of their smile. This versatile treatment is perfect for addressing minor imperfections quickly and effectively, making it a popular choice for patients who want noticeable results with minimal effort. Here are just a few reasons why composite bonding in Bellevue might be the right option for you.
Quick and Convenient
Most composite bonding procedures can be completed in just one appointment, allowing you to walk out with a transformed smile the same day.
Minimally Invasive
Unlike veneers or crowns, bonding doesn’t require the removal of healthy tooth enamel, so it preserves more of your teeth's natural structure.
Natural-Looking
Dr. Chen carefully matches the shade of the composite resin to your natural teeth, ensuring that the results are both natural-looking and beautiful.
Frequently Asked Questions
Composite bonding is a minimally invasive cosmetic procedure that can dramatically improve the look of your teeth. Using a tooth-colored resin, Dr. Chen can do the following:
- Repair Chips or Cracks — Whether caused by an accident or daily wear and tear, chips and cracks can make your teeth look uneven or damaged. Composite bonding smooths and restores these imperfections, creating a natural appearance.
- Close Small Gaps — Small gaps between teeth, especially in the front, can affect the overall look of your smile. Composite bonding can fill in these spaces and create a more uniform and aligned appearance without the need for braces.
- Reshape Teeth — If you have teeth that are uneven in size, length, or shape, bonding can be used to reshape them and give your smile a more harmonious look.
- Improve Discoloration — Composite bonding can conceal stubborn stains or discoloration that don't respond to whitening, ultimately giving you a brighter, more uniform smile.
- Protect Exposed Roots — Composite bonding can cover exposed roots caused by gum recession, reducing sensitivity and protecting your teeth from further damage.
Call Us for Dental Bonding in Bellevue, WA
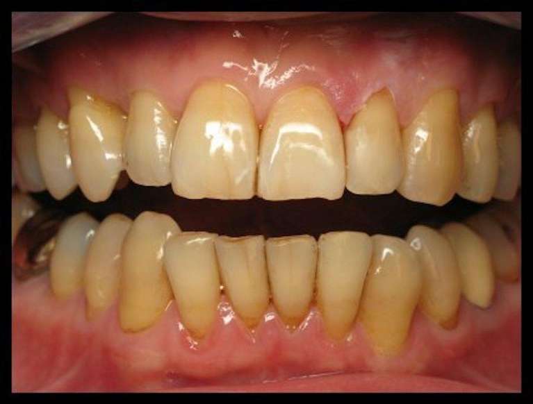
Composite bonding is highly versatile and can be used on one or several teeth, helping you achieve a beautiful smile with minimal effort. It's a quick and comfortable treatment, usually requiring just one visit to our dental office. Call us today for more information or to schedule your consultation!
Dental Bonding: Easy As 1, 2, 3!
If you’re looking for a quick and effective way to enhance your smile, dental bonding might be the perfect solution. At Advanced Dentistry Northwest, we make the entire process smooth, comfortable, and efficient. As always, Dr. Chen tailors the treatment to meet your unique oral health needs and aesthetic goals so your restored smile reflects your vision—and feels great!
Here's the dental bonding process in three simple steps: 
- Preparation — Dr. Chen begins by gently prepping the tooth. This involves lightly etching the surface of the tooth to create a slightly rougher texture, which helps the composite resin adhere securely. He also carefully selects a resin shade that matches your natural teeth, ensuring a seamless and natural-looking result.
- Application — Once the tooth is prepped, Dr. Chen applies the tooth-colored composite resin to the affected area. The resin is soft and moldable at this stage, allowing him to carefully layer and shape it according to the specific needs of your tooth, whether it's filling in a chip, closing a gap, or reshaping the tooth.
- Shaping and Polishing — After the resin is applied, Dr. Chen meticulously shapes it to match the natural contours of your tooth. Once the ideal shape is achieved, he hardens the resin using a special curing light. Finally, the resin is polished to a smooth finish, blending flawlessly with the rest of your smile.
The procedure is painless, and most patients don't require any anesthesia—another reason why composite bonding is so popular!
Meet Our Dentist:
Dr. Nelson Chen DDS
Dentist
Dr. Nelson Chen grew up right here in Bellevue, Washington. He attended Tillicum Middle School and Sammamish High School and is pleased to offer beautiful smiles to his friends and neighbors with the best dental care possible. He received his Bachelors of Arts degree in Molecular and Cell Biology from UC Berkeley in 2000 and his Doctor of Dental Surgery from the world-renowned University of Washington School of Dentistry in 2004.
Dr. Chen has been recognized as "America's Top Dentist" by the Consumers Research Council of America and as a Top ...
Ready to Repair Your Smile? Give Us a Call!
Composite dental bonding is an excellent solution for those who want to correct minor imperfections or enhance the overall look of their teeth. Contact our dental office today to schedule your consultation for composite bonding in Bellevue, WA. We welcome patients of all ages from the surrounding areas of Kirkland, Redmond, Issaquah, Renton, and beyond.
Composite Bonding Technology
Intraoral Camera
Our intraoral cameras provide detailed, magnified views of your mouth, allowing us to show you concerns, such as dental cracks or decay, in real-time. They’re an excellent tool for patient education and help you better understand recommended treatments.
I feel listened and supported at every visit.
I’ve been their patient since 2020 and I have never considered switching to another provider even after having moved to a different city due to their outstanding quality of care plus their very reasonable charges for dental work. I feel listened and supported at every visit. I strongly recommend Dr Chen and his team to anyone who is in search of a dentist.
-Wenn