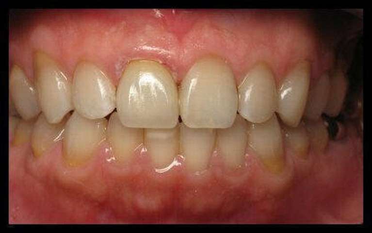
Crowns and Bridges

Losing teeth or dealing with damaged ones can have a real emotional impact, making you feel self-conscious, hesitant to smile, or even struggle with everyday things like eating and speaking. You might find yourself avoiding social situations, missing out on career opportunities, or hiding your smile in photos.
At Advanced Dentistry Northwest, we understand how important a healthy, complete smile is for your confidence and well-being. That’s why we offer custom-made dental crowns and bridges in Bellevue. Dr. Chen is here to help you regain your smile so you can get back to smiling and enjoying life!
What Are Dental Crowns and How Can They Help?
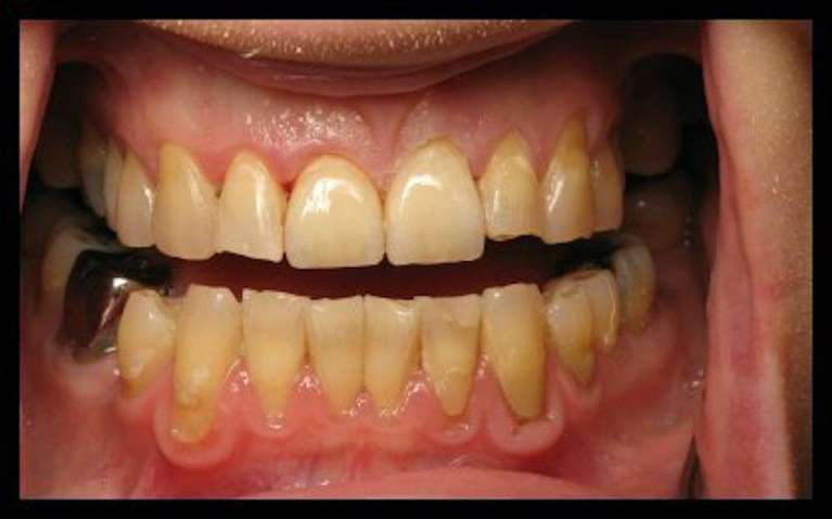
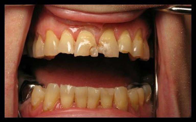
A crown, also called a "cap," completely covers and strengthens teeth that are:
- Chipped, fractured, or broken
- Worn down
- Weak or brittle, especially from root canal treatment
- Misshapen
- Severely discolored
- Severely decayed
At our dental office in Bellevue, WA, Dr. Chen uses high-quality materials to create crowns that blend seamlessly with your natural teeth. Dr. Chen offers single crowns or multiple, and he designs each with your overall smile, skin tone, and facial structure in mind.
How Can Crowns or Bridges Improve Your Smile?
Your smile isn’t just about how you look—it’s a big part of how you feel about yourself. When damaged or missing teeth hold you back from smiling or doing simple things like eating, it can really impact your day-to-day life. That’s where crowns and bridges come in!
Restores Function and Appearance
Damaged or missing teeth can make chewing and speaking difficult. Crowns and bridges restore these functions and enable you to eat and speak comfortably.
Protects and Strengthens Teeth
Damaged or missing teeth can make simple things like chewing and speaking a challenge. Dental crowns and bridges can help you eat and speak with ease again.
Replaces Missing Teeth
Missing teeth can make you self-conscious and uncomfortable. Dental bridges fill in these gaps seamlessly and give you a stunning, functional smile.
Blends with Natural Teeth
Dr. Chen designs crowns and bridges using high-quality materials that match your teeth's natural shape and color. No one will even know you’ve had dental work done!
Custom-Made for a Secure Fit
Each crown and bridge is custom-made to fit your mouth perfectly. A perfect fit means you can eat, speak, and smile without worrying about shifting teeth or discomfort.
Frequently Asked Questions
Crowns and bridges are durable dental restorations that are designed to last many years with proper care. On average, a crown or bridge can last anywhere from 10 to 15 years, but with excellent oral hygiene and regular dental checkups, they can sometimes last even longer.
What Influences Their Longevity?
The lifespan of crowns and bridges depends on several factors. First, the material used plays a significant role. Crowns are highly durable and can withstand the pressures of chewing and biting. Bridges, which replace one or more missing teeth, are also designed to be strong and long-lasting.
Proper oral hygiene is another key factor. Just like natural teeth, crowns and bridges require regular brushing and flossing to prevent plaque buildup and protect the surrounding teeth and gums. Avoiding habits that can damage your restorations, such as chewing on ice or hard objects, can also help prolong their lifespan.
Finally, regular dental visits are essential. Dr. Chen will monitor the condition of your crowns and bridges during routine exams to ensure they remain in good shape. With proper care and attention, crowns and bridges can provide you with a long-lasting solution for restoring the function and appearance of your teeth.
Call Advanced Dentistry Northwest for More!
Call us today for more information or to book your consultation.
What Are Dental Bridges?
A dental bridge fills in the gap in your smile left by one or more missing teeth. It consists of one or more artificial teeth (pontics), which are attached to neighboring teeth using crowns.
A bridge restores the look of your smile and your ability to chew and speak. If you have missing teeth, a bridge can be a life-changing restoration. At Advanced Dentistry Northwest, Dr. Chen creates custom bridges that look natural and allow you to eat your favorite foods with comfort.
How Can Dental Bridges Improve My Smile?
Bridges are perfect for:
- Replacing One or More Missing Teeth — A bridge can fill gaps and complete your smile.
- Preventing Shifting Teeth — Missing teeth can cause neighboring teeth to shift and disrupt your bite. Bridges help maintain proper alignment.
- Restoring Chewing and Speaking Function — Bridges allow you to eat comfortably and speak clearly.
Comfortable Tooth Restorations That Last
At Advanced Dentistry Northwest, we understand that getting dental restorations can feel overwhelming. That’s why we strive to create a friendly, nurturing environment where you feel cared for and respected. Dr. Chen takes the time to listen to your concerns and explain every step of the process so you feel comfortable and have peace of mind.
Meet Our Dentist:
Dr. Nelson Chen DDS
Dentist
Dr. Nelson Chen grew up right here in Bellevue, Washington. He attended Tillicum Middle School and Sammamish High School and is pleased to offer beautiful smiles to his friends and neighbors with the best dental care possible. He received his Bachelors of Arts degree in Molecular and Cell Biology from UC Berkeley in 2000 and his Doctor of Dental Surgery from the world-renowned University of Washington School of Dentistry in 2004.
Dr. Chen has been recognized as "America's Top Dentist" by the Consumers Research Council of America and as a Top ...
Schedule Your Consultation with Dr. Chen!
Do you need to strengthen a damaged tooth or fill in a missing one? Call Dr. Chen today to schedule your consultation! Our team at Advanced Dentistry Northwest is here to help you achieve a long-lasting, healthy smile that allows you to comfortably eat, speak, and smile. We welcome patients from all surrounding areas, including Redmond, Kirkland, Issaquah, and Sammamish.
Call us today at (425) 451-7388 or request an appointment online.
Crowns and Bridges Technology
Digital X-Rays and Sensors
Our digital x-rays and sensors provide high-quality images with significantly less radiation than traditional x-rays. This technology allows us to quickly diagnose issues such as cavities, bone loss, and infections. Digital imaging helps us make precise, accurate diagnoses and treatment plans.
I cannot praise them enough for their fantastic work.
Highly recommend!! It's had been nearly half a decade since I had gone to the dentist. I was scared going in, but my experience with the staff and dentist eased all my anxieties. Everyone was incredibly helpful and informative, and I received a lot of great information on how to take care of my teeth at home. I cannot praise them enough for their fantastic work, and I am extremely thankful that I chose Advanced Dentistry Northwest.
-H