Veneers

Have you ever admired the flawless smiles of Hollywood stars? Well, there's a good chance veneers played a part in their dazzling appearance! Veneers are a popular choice among celebrities for achieving that picture-perfect smile, and the good news is that they’re not just for the red carpet. You, too, can enjoy the confidence of a beautiful, radiant smile with custom-made veneers at Advanced Dentistry Northwest.
Ready to revamp your smile? Contact our dental office in Bellevue, WA, today to schedule your consultation!
What Veneers Can Do for You
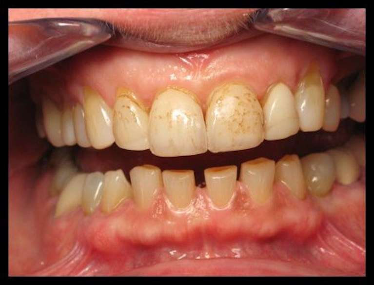
Veneers are custom-made, thin shells of porcelain that are designed to fit over the front of your teeth. They're highly versatile and can correct a range of cosmetic concerns such as:
- Chips, cracks, and fractures
- Stubborn discoloration that whitening treatments can’t fix
- Uneven or misshapen teeth
- Small gaps between teeth
- Worn or shortened teeth
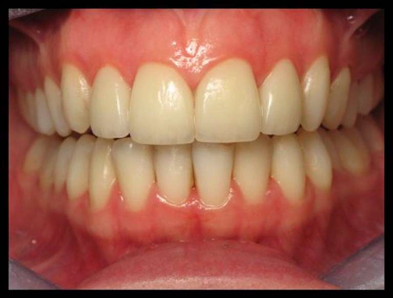
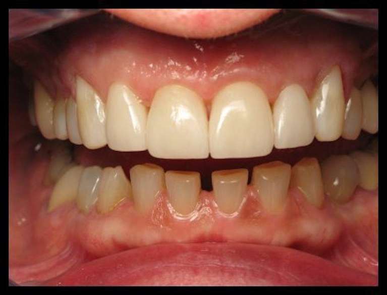
Each veneer is meticulously crafted to blend seamlessly with your natural teeth, giving you a flawless, natural-looking smile that lasts for years.
The Benefits of Veneers
Veneers are a quick, long-lasting way to instantly improve your smile's appearance. Whether you're looking to correct imperfections or completely revamp your look, veneers provide a natural, beautiful finish that can make a world of difference. Here are three major benefits of choosing veneers in Bellevue, WA.
Instant Transformation
Veneers can almost instantly correct a wide range of cosmetic issues, such as chipped, stained, or misshapen teeth. Veneers offer a fast solution to multiple concerns, making them perfect for a dramatic smile makeover.
Long-Lasting
Veneers are durable and resistant to staining, so you don’t have to worry about discoloration from coffee or wine. They’re also strong enough to handle chewing and biting, making them a reliable option for a long-lasting smile.
Minimally Invasive
Compared to other dental procedures, veneers are minimally invasive. They require only a small amount of enamel removal, so they preserve most of your natural tooth structure. The result is a stunning, natural-looking smile!
Frequently Asked Questions
Yes, veneers are an excellent cosmetic solution for enhancing the appearance of your teeth. Veneers are custom-made to cover the front surface of your teeth. They conceal imperfections and give your smile a beautiful, natural-looking appearance. Veneers are an ideal option for patients looking to correct various cosmetic flaws such as discoloration, chips, gaps, or uneven teeth.
Enhance Your Smile with Custom Veneers
One of the main benefits of veneers is that they offer a quick and dramatic transformation. Unlike other cosmetic treatments that may require multiple procedures or months to see results, veneers can give you a new smile in just a few visits. Porcelain veneers are especially popular because they mimic the natural translucency and shine of tooth enamel, making them virtually indistinguishable from real teeth.
Veneers are also highly durable. With proper care, they can last 10 to 15 years or more, providing a long-term solution for improving your smile. Additionally, they're stain-resistant, so you can enjoy a bright, white smile without worrying about discoloration from foods or drinks.
Ready to Achieve a Flawless Smile?
If you’re looking to enhance the appearance of your smile, Dr. Chen can help you decide if veneers are the right choice for you. They offer a natural, long-lasting way to achieve the smile you’ve always wanted.
Perfect Your Smile with Veneers
Here's why patients and dentists alike continue to choose veneers:

- Instant Cosmetic Transformation — Veneers can correct multiple cosmetic concerns, such as chips, gaps, discoloration, or uneven teeth—all in just a few visits.
- Long-Lasting Durability — Made from high-quality porcelain, veneers are highly durable and resistant to staining. With proper care, your veneers can maintain their beauty and strength for many years.
- Natural-Looking Results — Veneers are custom-designed to match the color, shape, and size of your natural teeth. Your new smile will blend perfectly with your other teeth and give you a flawless look that feels like your own.
The Veneer Process: What to Expect
The process of getting veneers is simple, comfortable, and designed with your satisfaction in mind. Dr. Chen will begin by discussing your smile goals and thoroughly evaluating your teeth to ensure veneers are the right option for you. Once a personalized treatment plan is in place, he will gently prepare your teeth by removing a small amount of enamel to make space for the veneers—this ensures the veneers don't look or feel bulky.
After taking impressions of your teeth, our skilled lab partners will craft your custom veneers to fit perfectly and match your natural teeth. Once your veneers are ready, Dr. Chen will carefully bond them to your teeth and make any necessary adjustments for a flawless fit. You can then enjoy a dazzling smile that you’ll love to show off every day!
Meet Our Dentist:
Dr. Nelson Chen DDS
Dentist
Dr. Nelson Chen grew up right here in Bellevue, Washington. He attended Tillicum Middle School and Sammamish High School and is pleased to offer beautiful smiles to his friends and neighbors with the best dental care possible. He received his Bachelors of Arts degree in Molecular and Cell Biology from UC Berkeley in 2000 and his Doctor of Dental Surgery from the world-renowned University of Washington School of Dentistry in 2004.
Dr. Chen has been recognized as "America's Top Dentist" by the Consumers Research Council of America and as a Top ...
Get Started on Your Smile Transformation Today!
If you're ready to transform your smile and boost your confidence, veneers could be the perfect solution. Whether you're dealing with chipped, stained, or uneven teeth, veneers offer a quick and lasting way to create a smile you'll be proud to show off.
Dr. Chen and the friendly team at Advanced Dentistry Northwest are dedicated to helping you achieve the smile you’ve always dreamed of with expertise you can trust.
From your first consultation to the final result, Dr. Chen will guide you through every step of the veneers process to guarantee your experience is comfortable and tailored to your unique needs. A radiant, head-turning smile is possible!
Contact our dental office in Bellevue, WA, today to schedule your consultation.
The office hours are convenient and we are always greeted with a smile.
I and my husband love Dr. Chen's services. The office is clean and the staff is extremely friendly and professional. We especially like that they explain the treatments to us and we are involved in the decisions about our dental health. The office hours are convenient and we are always greeted with a smile. We highly recommend Advanced Dentistry Northwest to anyone looking for a great dentist.
-Pepa