Advanced Dentistry Northwest
Nelson Chen, DDS

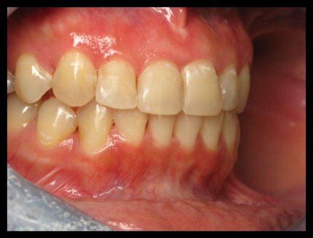
6 Month Cosmetic Braces

This patient had Invisalign for about 1 year and just couldn't get the results she wanted. So we finished the case in about 6 months after the 6 Month Braces was started. She was extremely happy about the final result.

Related Services:

Cosmetic Dentistry
Have Questions? Get in Touch
If you have difficulty using our website, please email us or call us at (425) 451-7388
View the ADA Accessibility Statement