Advanced Dentistry Northwest
Nelson Chen, DDS

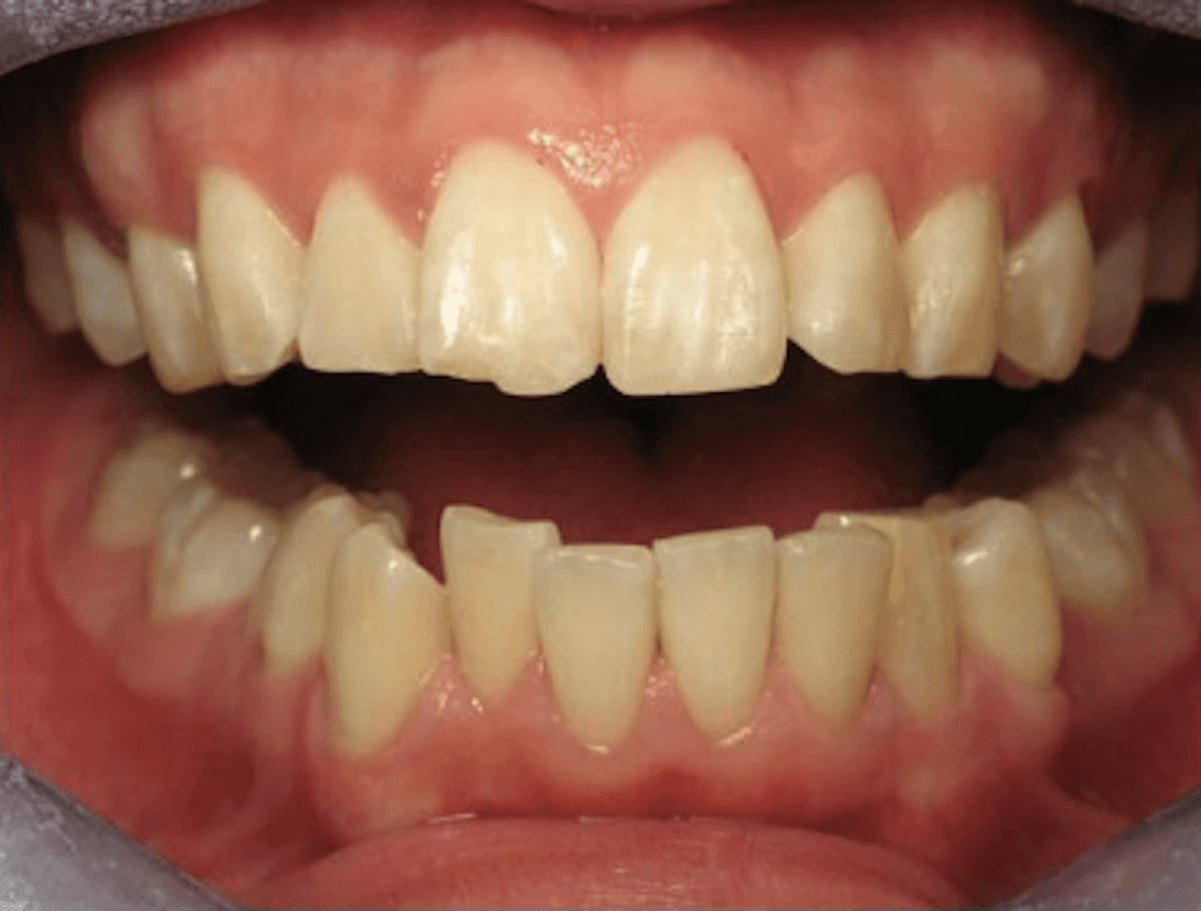
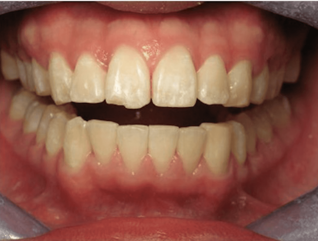
6 Month Cosmetic Braces

Another example of how 6 Month Cosmetic Braces can do for your smile. This case was completed in exactly 6 months.

Related Services:

Cosmetic Dentistry
Are You Ready to Book Your Next Dental Visit?
If you have difficulty using our website, please email us or call us at (425) 451-7388
View the ADA Accessibility Statement