Advanced Dentistry Northwest
Nelson Chen, DDS

Porcelain Veneers

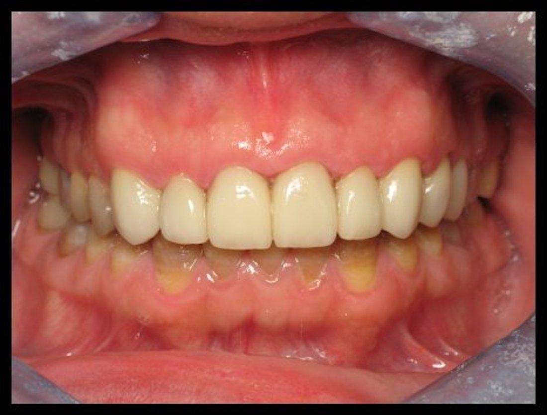
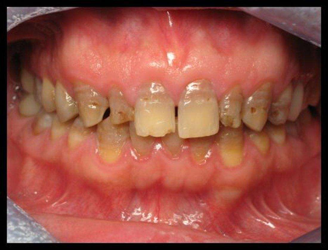
This wonderful patient had concerns with his smile and we decided that porcelain veneers would be indicated for him. He wanted his teeth to be as white as possible. He received seven veneers and one all-ceramic crown and was extremely happy with the transformation and the new confidence that he got from the new smile. In the near future, two more veneers will be added on the upper right to complete the smile makeover for the top arch.

Related Services:

Veneers
Do You Need Assistance?
If you have difficulty using our website, please email us or call us at (425) 451-7388
View the ADA Accessibility Statement